すぎうらペットクリニック(北海道)杉浦先生
- DRを導入しようと思ったきっかけは?
 - 漠然とですが、CRの次はDRかなと思っていて、もう1回CRを買うことはないかなと思っていました。
前のCRは8年~10年かな?使っていて、サーバーPCの買い替えの時期が来ていた事がきっかけでした。 - CR導入したときはDRは検討していなかったのですか?
 - 当時はCRが300万くらいで、DRが600万~800万くらいで、だから全く考えていませんでした。
 - 次はDRと思ってたのはなぜですか?
 - 1番はやっぱり撮ってから画像が出るまでの速さですね。
ずっとCRを使っていたけど、少し前に歯科用のレントゲンセンサーを入れてみたら、撮ってすぐパッと画像がでてくるのがいいなと思っていました。
それまでは歯のレントゲンはフィルムでやっていたけど、すごく面倒で、すぐにやらなくなりました。
DRなら歯科用のレントゲンセンサーと同じように、撮ってすぐにレントゲン画像を見れるのはいいな、と思っていました。 - RayenceのDRを知ったきっかけは?
 - 一番最初はCiメディカルのDMにチラシが入っていた事ですね。その時は買おうと思ってないけど、298万円と書いてあって、DRも安くなったんだな、思っていました。
安かったので画質はどうなのかなぁ?と疑問に思っていました。
ちょうど東京のセミナーに参加した時に、講師の先生がRayenceのDRは価格は安いけど、画質も国内メーカーと比べて遜色ないよと言っていて、実際に1年ほど使っている近くの先生も大丈夫だよと言ってたので興味を持ちました。 - 他のメーカーのDR検討しましたか?
 - 私はしなかったですね。
今のCRの保守費用が結構高くて毎月2万5千円くらい掛かっていました。
レイエンスのDRの価格ならローン借りるにしても月々同じくらいの金額で買えるかなと。それならDRにしようと決めました。
今のCRのサーバーPCが壊れないうちに貯まっている画像データを取り出さなきゃ、と思って早めに買い替えを決めました。 - RayenceのDRを導入した決め手は何ですか?
 - 一番の決め手はやっぱり価格ですね。
前のCRの保守費用と月々の支払が変わらないくて、DRになるんだったらいいなと思いました。
この先もCRを使い続けて保守費用を払い続けることを考えたら今買い替えるのがいいですよね。
画質も良くなって、画像が出てくる速さも断然早くなりますし。 - 2番目の決め手は何ですか?
 - よく行くセミナーの講師の先生が勧めていたことが大きかったです。
昔、CRが出始めた頃はフィルムの方が断然画質が良いと、その講師の先生や他の画像診断の先生も言っていたんですよ。
けど当時はスタッフが不足していたので、手間を優先してCR入れちゃったんですけどね。
当時、そう言っていた先生や、実際にレイエンスのDRを使っている近くの先生も、レイエンスの画質は綺麗だと言っていたので、それが大きかったですね。 - RayenceのDRを導入してみていかがですか?
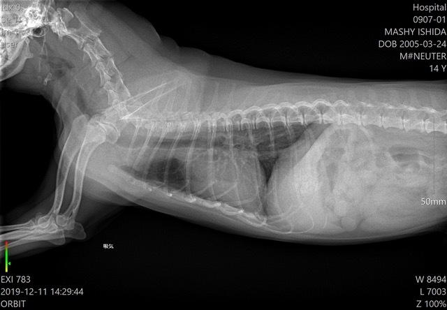
 - CRより腹部がくっきり見えるようになりました。
あと、カセッテの入替とかがないので、保定したまま手を離さずに連続撮影ができるのが良いですね。
呼吸を吸っているときと、吐いているときで、ずらして撮るとかも簡単にできるのがいいです。
以前はどうしても画像がずれてしまっていたのですが、2枚撮影した画像がピタッと重なって、呼吸器だけが違う画像が撮れます。
それは一番感動しましたね。これは便利だと思いました。
気管虚脱とか気管支拡張症とか呼吸のタイミングで太い細いが分かりやすくて、飼い主さんへの説明もしやすいです。
あとは、撮ってから画像が出て、次の画像を取るまでのスピードが速いので、パパっと何枚か撮って綺麗な画像を見せることができるのが手間が減っていいですね。
以前よりもレントゲンの撮る頻度や枚数が増えました。 - これからレントゲンの買い替えを検討している方に何かアドバイスありますか?
 - 中古のCRを導入しても、サーバーとクライアントのパソコンの維持費で年間50万円くらいかかるみたいで、それならRayenceのDRを買った方が良いのにな、と思いますね。年間の維持費まで考えて検討されるのが良いと思います。
 
    
    
    



